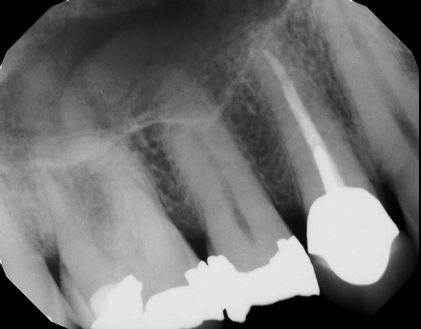
We love using our MouthWatch intra oral camera to document for our patients! We will often use this tool during your appointments to capture an image of older fillings to monitor breakdown, or any other area of the mouth that we want to watch at your next appointment. In this case, our patient came in with a broken tooth caused by an older silver filling, we were able to take an X-Ray of the area along with an intraoral photo to ensure that they received the best next steps for their treatment plan!
If you have a concern you want to see in more detail, ask about our intraoral cameras today!
