Harte Dental
Giving Smiles Since 1978
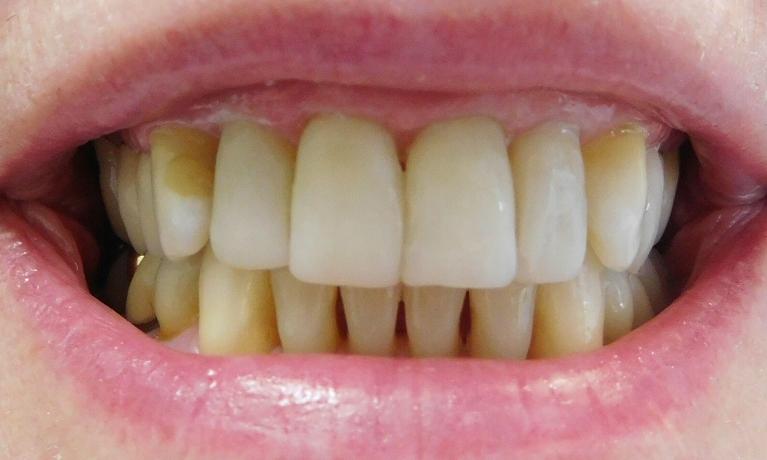
Dental Bonding
Treatment for Minor Cosmetic Issues

Bonding provides a noninvasive, affordable treatment that can correct a multitude of flaws with your smile’s appearance.

Dental Bonding | Dentist
We Can Quickly Improve the Look of Your Smile
Book Now

Dental Bonding

Sometimes the smallest of imperfections can distract from a perfect smile. If you have a cosmetic issue on a front tooth, dental bonding can be a quick, inexpensive, and non-invasive way to correct it.  Bonding may be used for all of the following conditions:

  • Stained or discolored teeth
  • Stained or discolored fillings
  • Spaces or gaps between teeth
  • Teeth with irregular or short lengths
  • Jagged teeth
  • Chipped teeth

What does a dental bonding appointment involve?

First, the dentist will assess the color of your teeth and select a custom color palette of filling material, or dental composite, to match your natural shade. If you look closely at your teeth, you will notice that the color varies from top to bottom and throughout different parts of the tooth. Your dentist will take this into account and layer different colors to achieve the most lifelike appearance.

Next, we will shape your tooth to prepare the surface for adding material and to smooth out any sharp edges. We add a series of surface treatments and adhesives which help to lock on the bonding material. We then add the bonding material itself in layers and use a special light to help it set into the shape of your tooth.

After enough material has been added, the dentist will contour, smooth, and polish the tooth or teeth treated. This brings out the luster and gloss on the surface of your teeth.

The final and best part of all is bringing out the mirror to show you your new and improved smile!

Do I have to get a shot?

One thing a bonding appointment usually does not involve is a needle! Because there is a very minimal amount of drilling required for dental bonding, most patients will not need an injection beforehand. That means no prick, and it also means you leave with your lip still feeling normal. During the procedure, if you have sensitive teeth you may feel the coldness of the water we use on your teeth, but most patients do not experience pain. This makes bonding an even more attractive and convenient way to beautify your smile!

How long does dental bonding take?

For most patients, bonding is one of the quickest ways to see dramatic changes in the shape of their teeth. Most of the time we only need one appointment, and for single teeth that appointment is usually less than an hour long.

Can I eat afterward?

After a bonding appointment, you can eat right away. However, we do advise that patients with bonding avoid strongly stained foods such as chocolate or wine immediately after the procedure. Long term, we suggest that patients with bonding avoid biting directly on the bonded teeth, as the material we use is not as strong as your natural teeth.

 

Frequently Asked Questions

Following the WHO and America declaring the end of the Public Emergency on 5/12/23, we DO NOT REQUIRE MASKS for our patients. Of course, you are more than welcome to wear a mask here if you wish! We will still offer masks as well.

We Reserve Time for New Patients to Get Started
If you have difficulty using our website, please email us or call us at (617) 696-5257
View the ADA Accessibility Statement
Office Email: contactus@hartedental.com
Privacy Policy