Harte Dental
Giving Smiles Since 1978
Home
About
Our Team
Dr. Kimberly Harte
Dr. Sunandhaa Narasimhan
Dr. Sydney Onos
Dr. Caitlin Coleman
Technology
Office Tour
Services
View All
Community Involvement
Dental Implants
Cosmetic Dentistry
Invisalign
Dental Bonding
Emergency Services
Family Dentistry
Pediatric Dentistry
Periodontal Disease Prevention and Treatment
Root Canal Treatment
Teeth Whitening
Smile Gallery
Testimonials
FAQs
View All
Other
Dental Implants
Invisalign
Family Dentistry
Pediatric Dentistry
Periodontal Disease Prevention and Treatment
Root Canal Treatment
Teeth Whitening
BLOG
Pay Online
Contact
Harte Dental
Giving Smiles Since 1978
Request an Appointment
Like us on Facebook
Visit us on Yelp
Watch our Youtube Videos
Leave a Google Review
Instagram
(617) 696-5257
480 Adams St. Suite 206
480 Adams St. Suite 206
Milton, MA 02186
contactus@hartedental.com
Harte Dental
>
Smile Gallery
>
Dental Bonding
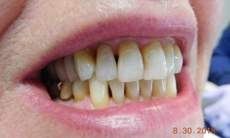
Smile Gallery: Dental Bonding
Below are some examples of some of our work!
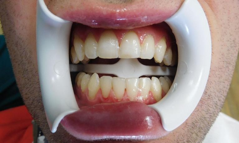
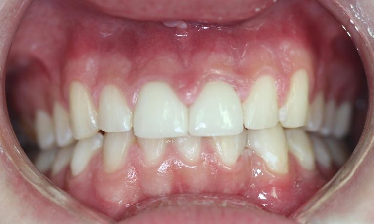
Before
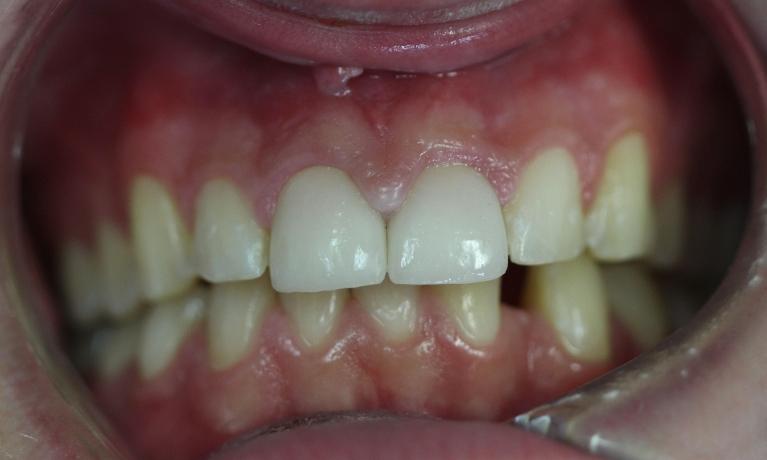
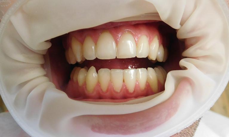
After
Dental Bonding
Read More
Before
After
Dental Bonding
Read More
Before
After
Dental Bonding
Read More
Before
After
Dental Bonding
Read More
Before
After
Dental Bonding
Read More
Before
After
Before
After
Dental Bonding
Read More
Before
After
Dental Bonding
Read More
Load More
Not finding what you need?
Contact Us
Smile Gallery Categories
Cosmetic Dentistry
Invisalign
Dental Bonding
Teeth Whitening
If you have difficulty using our website, please
email us
or call us at
(617) 696-5257
View the
ADA Accessibility Statement
Turn on ADA Views
Office Email: contactus@hartedental.com
Privacy Policy
OK!
×
×
Contact Us Today
Give Us A Call
Harte Dental -
(617) 696-5257
Send Us an Email
Request an Appointment
Contact Us
Ready to Schedule an Appointment?
Book Online
Have Questions? Contact Us:
Required Field
Your Name:
Phone:
Email:
Are you a new patient?:
Are you a?
New Patient
Current Patient
How would you like us to contact you?
Please choose
Email
Call
How did you hear about us?
Please choose
I'm an existing patient
Google/Bing
Mailer
Word of mouth
Social media
Other
Who Referred You?:
Appointment Preferences
Monday
Tuesday
Wednesday
Thursday
Friday
Your Message:
This site is protected by reCAPTCHA and the Google
Privacy Policy
and
Terms of Service
apply.
Sending...
×
This Patient's Experience
Loading Testimonial...
Loading Case...